所在位置:首页 > 科学研究 > 观赏植物研究中心 > 永盈彩票在冬青属植物质体基因组比较分析及耐寒机制研究中取得新进展
565
观赏植物研究中心
2022.12.20
近期,园林植物选育组在冬青质体基因组比较分析、系统发育关系及物种特异性分子标记开发、低温胁迫下冬青调控机制相关基因的转录表达分析研究中取得系列进展。相关研究论文 “Comparative chloroplast genome analysis of 10 Ilex species and the development of species-specific identification markers”、“Complete chloroplast genome of Ilex dabieshanensis: genome structure, comparative analyses with three traditional Ilex tea species, and its phylogenetic relationships within the family Aquifoliaceae”和“Transcriptome and expression analysis of genes related to regulatory mechanisms in holly (Ilex dabieshanensis) under cold stress”分别发表于SCI收录期刊 《Industrial Crops and Products》、《PLOS One》和《Forests》。
(1)10种冬青叶绿体基因组比较分析及其物种特异性分子标记开发
冬青属(Ilex)隶属于冬青科,具有很高的观赏、药用及茶用价值。然而,由于其形态上的相似性和基因组资源的不足,冬青属植物的种质鉴定和系统进化关系研究受到了限制。本研究选取经济价值较高的10个冬青物种进行质体比较基因组学分析。比较分析表明冬青基因组结构、基因含量及基因组排列都是保守的,但IR/SC边界区及差异区域有一定的变异。对39个冬青属植物的系统发育分析阐明了冬青属植物的进化关系,结果强烈支持将冬青属植物划分为四个支系,这与化石证据一致。其中,I. intermedia, I. dabieshanensis 2和 I. vomitoria 聚类到C支系的刺齿冬青组。此外,基于高变区序列,开发了11个DNA条形码用于对10个冬青属植物进行鉴定。本研究为冬青属植物的种质资源鉴定、基因工程、系统发育进化的进一步研究提供了基础。


(2)大别山冬青与三种传统的苦丁茶冬青叶绿体基因组比较分析
大别山冬青(Ilex dabieshanensis)不仅是一种非常有价值的园林绿化树种,由于其抗炎和降脂的药用特性,它也是制作苦丁茶的良好材料。本研究组装了大别山冬青的叶绿体基因组,发现其基因组长度为157218bp,呈现出典型的四方结构,包括LSC、SSC和一对IR区域,共检测到132个SSR和43个长重复序列,可作为潜在的分子标记。对四种传统冬青茶种质(大别山冬青、巴拉圭冬青、大叶冬青和构骨)的比较分析找到了七个差异区域:matK-rps16、trnS-psbZ、trnT-trnL、atpB-rbcL、petB-petD、rpl14-rpl16和rpl32-trnL,这些变异可能对区分冬青属内的不同种具有重要的意义。系统发育分析表明,大别山冬青与构骨属于同一分枝,亲缘关系较近,且其与大叶冬青也具有密切的亲缘关系。本研究中揭示的叶绿体基因组信息对冬青茶种质资源鉴定、系统发育和遗传改良具有重要的意义。

(3)冬青响应低温胁迫相关基因的转录表达分析
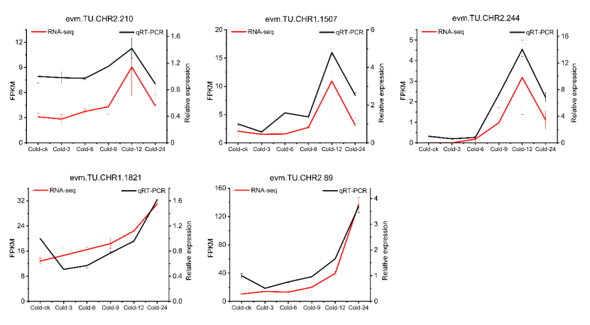
大别山冬青是一种重要的经济树种,其四季常绿、耐寒性强。为了了解冬青对冷胁迫反应的分子机制,通过转录组分析确定了参与冬青冷胁迫调控的主要信号通路和关键基因。结果表明,与对照相比,在不同的冷处理时间下,共鉴定出5750个差异表达基因。KEGG分析表明有7种植物激素信号转导途径是高度密集。此外,脯氨酸代谢、精氨酸代谢、类黄酮生物合成和花青素生物合成也参与了对冷胁迫的响应。WGCNA分析表明,冷胁迫处理12h和24h后,两个模块基因显著上调,并确定了5个候选基因作为大别山冬青对冷胁迫响应的关键调节基因。以上结果为进一步研究冬青耐寒性的分子机制提供了理论基础和基因储备。



以上研究得到了江苏省植物资源研究与利用重点实验室项目(JSPKLB202209)、江苏省农业科技创新基金(CX(21)3020)、永盈彩票博士人才科研启动基金(JIBTF202110)、浙江省农业科学重点实验室开放项目(SLFX202205)等资助。
论文链接:
(1)https://doi.org/10.1016/j.indcrop.2022.115408